Clinical
Case Report
Compremium Quantis ST supported rapid risk stratification and OR prioritization

Objective
Case Presentation
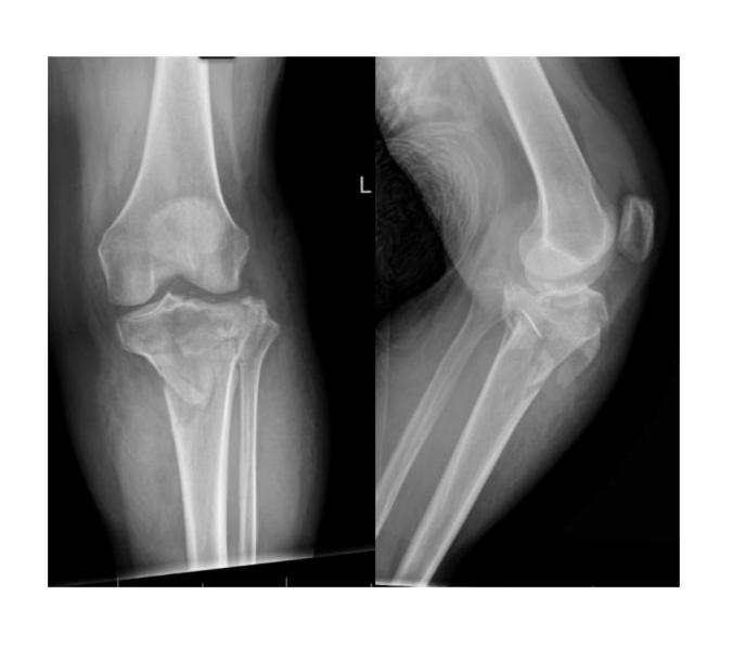
A 57‑year‑old woman with type II diabetes presented after a fall with a swollen, fractured leg. Initial management planned closed reduction and external fixation, but surgical prioritization was challenging due to competing trauma cases.

Solution
Measurements
Non‑invasive soft‑tissue compressibility measurements using Compremium Quantis ST were performed on the injured leg to support decision‑making, calculating CP value as the percent change in compartment thickness between low and high applied pressures.

Result
Outcome & Conclusion
Severe hyperglycemia and markedly reduced anterior compartment compressibility (average 5%) indicated evolving compartment syndrome.
Surgery was prioritized, and the patient was taken immediately to the OR for fasciotomy and external fixation. All muscle was viable intraoperatively, and wounds were closed on postoperative day 4–5. Objective measurements enabled timely intervention, preventing irreversible muscle damage, particularly in a high‑risk diabetic patient.
This case was presented at OTA 2025 by Andrew H. Schmidt, MD Chief Orthopedic Surgery Hennepin Healthcare Minneapolis, MN, USA


